Sağlıklı gülüşler sağlam diş etleriyle başlar! Diş eti tedavilerimizle ağız sağlığınızı yeniden kazanın. Şimdi randevu alın, güçlü ve sağlıklı bir ağız yapısına sahip olun!

Diş Eti Hastalıklarının Belirtileri
Diş eti hastalıklarının birçok sebebi bulunur. Görünen ve içten diş etinin hastalandığı durumlar vardır. Bu belirtilerden bazıları;
- Aralıklarla meydana gelen diş iltihapları,
- Diş eti kızarıklığı, şişliği,
- Fırçalama esnasında sürekli kanama olması,
- Durmayan akıntılı iltihaplar,
- Diş etinin giderek çekilmesi ve dişler arasında oluşan boşluklar,
- İşlem görmüş dişlerde meydana gelen diş eti morlukları.
Bunlar dışında farkında olunamayacak şekilde içte meydana gelen rahatsızlıklar olabilir. Bu nedenle doktor kontrolü çok önemlidir.

Diş Eti Tedavisi Nasıl Yapılır?
Diş eti hastalıklarında basit ve cerrahi işlem gerektiren durumlar söz konusudur. Bu tedaviler;
- İlk olarak diş eti kontrolleri yapılır ve gerekli görüldüğünde diş filmi çekilir.
- Ardından diş taşları ve plakları temizlenir.
- Diş eti iltihabının ilerlemesine göre cep denilen yerler temizlenir.
- Basit rahatsızlıklarda antibiyotik tedavi işe yarayabilir.
- İleri seviye diş eti sorunlarında cerrahi müdahaleye başvurulur.
- Diş eti cepleri derinlemesine tedavi gerektirdiği durumlar söz konusudur. Bu işleme “küretaj” denir.
- Periodontal işlem gerekli olduğunda yapılan kesim ve çekim işlemleri yapılır.
- Bazı durumlarda diş eti fazlalıklarının alınması gerekir. Bu işlemi uzman diş hekimleri tarafından yapmaktadır.
Diş Eti Problemleri
İlaç Kullanımına Bağlı Diş Eti Sorunları
Bazı hastalıkların tedavisinde kullanılan ilaçlar diş etine zararlı etki etmektedir. Özellikle de epilepsi rahatsızlıklarında kullanılan güçlü etkiye sahip ilaçlar diş etinde ve diş çevresinde tahribata yol açar. Bunun dışında doku-organ nakli olan hastaların kullanması gereken hapların, ön diş eti yüzeyinde büyüme yaptığı görülmektedir. Yüksek tansiyon, kalp gibi hastalıklar için kullanılan ilaçlar da yine diş eti rengini değiştirip büyümesine neden olmaktadır.
Sigara Kullanımı Sonucu Diş Eti Hastalığı
Sigara kullanımı bazı diş eti tedavilerinde doku kaybı oluşturduğu görülmektedir. Diş eti yüzeyinde bulunan damarları tahrip etmesi, dokuya zarar vermesi, tedaviyi olumsuz etkilemesi söz konudur.
Diş Eti Hastalıkları Genetik Olur Mu?
Çekirdek aile içerisinde diş eti sorunu yaşayanların büyük kısmında çocuklarında da görülebilmektedir. Bu her zaman geçerli olmayabilir. Ancak hekime başvurduğunuzda böyle bir durum varsa belirtmenizde fayda var.
Periodontal Operasyon
Diş ve diş eti hastalıklarına müdahale eden bir alandır. Bu alanda;
- Çene kemiği erimesi,
- Büyümüş diş eti sorunu,
- İltihaplı diş eti,
- Diş ve diş eti çekilmesi yer almaktadır.
Periodontal operasyonda lokal anestezi uygulanır. Hasta koltukta acı hissetmez.
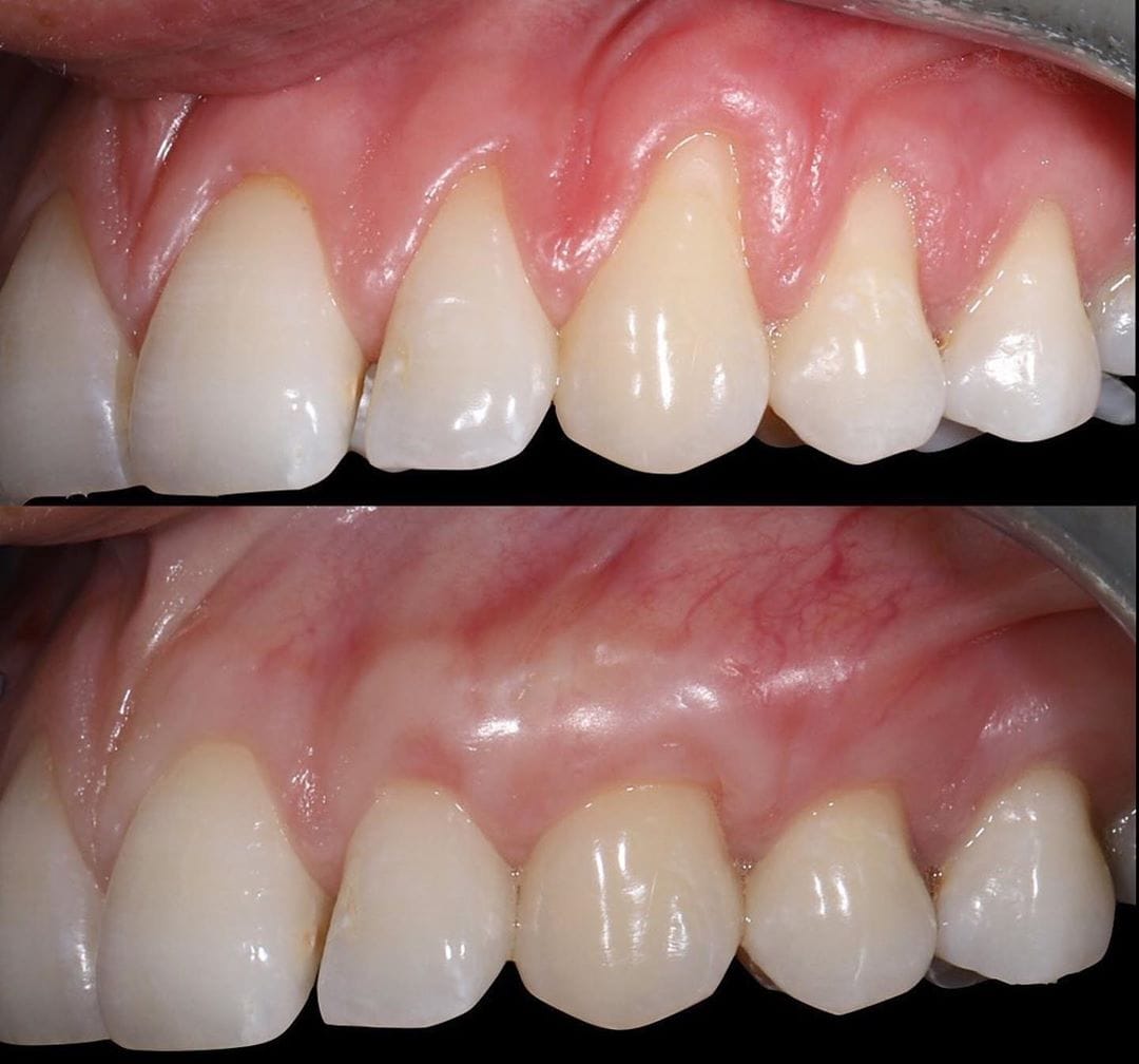
Periodontal Tedavi Sonucu
Her tedavi kişiye özgü olduğundan operasyon kadar hasta da önemlidir. Genel olarak tedavi sonrası;
- Dişler temizlenmiş,
- Diş etleri normal rengini almış,
- Kanama, iltihaplanma sorunu ortadan kalkmış olur.
Diş Etinde Gingivitis Rahatsızlığı
Diş eti hastalıklarında sorunun ilk aşaması ilerlediği takdirde, gingivitis aşamasına geçmiş olur. Bu rahatsızlıkta diş eti iltihabı kemiğe geçmiş olmaz.
- Diş fırçalama sırasında kanama meydana gelir.
- Diş eti renginde bozulma ve şişlik olur.
- Ağrı olmaz.
- Müdahale edilmezse bir sonraki evreye geçmiş olur.
Diş Eti Flep Cerrahisi
Diş etinin alt kısmında sorunlarında bazen ciddi müdahale gerekir. Diş etleri ile dişler ayrılarak işlem gerçekleşir. Bu sayede diş altındaki kemik ve diş eti net biçimde görünür. Lokal anestezi gerektiren bir işlemdir.
Diş Etinde Periodontitis Rahatsızlığı
Gingivitis sorunu eğer tedavi edilmezse bir sonraki aşama budur. İltihap tedavi edilmediği için diş kemiğine geçer. Diş ile diş eti arasında cep boşluğu oluşur. Son olarak da periodontal cep varlığı oluştuğu takdirde sorunun ilerlemesi daha kolay hale gelir.
Diş Eti Tedavisi Maliyeti
Diş eti hastalıkları cerrahi işlem gerektiren ve gerektirmeyen olmak üzere iki kısma ayrılır. Cerrahi işlem uygulamaları diğerine oranla daha maliyetli olmaktadır. Cerrahın uzmanlığı, klinik maliyeti, kullanılan malzeme kalitesi fiyatı belirleyen unsurlardır. Aşağıdaki formu doldurarak sizinle iletişime geçmemizi sağlayabilirsiniz.